Zespół lekarzy stomatologów pracujących w Specjalistycznym Centrum Stomatologii Profesor Elżbiety Dembowskiej składa się z osób posiadających specjalizację w kierunku leczenia schorzeń występujących na błonie śluzowej jamy ustnej. Jesteśmy ośrodkiem, w którym konsultujemy pacjentów ze współpracującymi gabinetami. Choroby błony śluzowej jamy ustnej to często spotykane zjawisko. To stan zapalny śluzówki jamy ustnej, a niekiedy także warg. Dolegliwość jest bolesna i utrudnia codzienne przyjmowanie pokarmów, zarówno stałych jak i płynnych. Choroba występuje zarówno u dzieci, jak i osób dorosłych. Sposób leczenia chorób błony śluzowej jamy ustnej jest uzależniony od rodzaju i przyczyn schorzenia.

Spis treści
- Zapalenia błony śluzowej jamy ustnej – przyczyny
- O czym mogą świadczyć zmiany w jamie ustnej?
- Leczenie chorób błony śluzowej jamy ustnej
- Leczenie leukoplakii
Zapalenia błony śluzowej jamy ustnej – przyczyny
Zapalenia błony śluzowej jamy ustnej jest rozległym procesem zapalnym zajmującym większość lub nawet całą powierzchnię błony śluzowej jamy ustnej, języka oraz warg. Ból towarzyszący zapaleniu jest bardzo uciążliwy, często uniemożliwia normalne przyjmowanie pokarmów, a nawet płynów. Zmiany na błonie śluzowej jamy ustnej przybierają różnorodny wygląd: od delikatnej zmiany zabarwienia, obrzęku po rozległe, mnogie nadżerki i owrzodzenia.
Zapalenie błony śluzowej jamy ustnej może występować z różnych powodów – pod tą nazwą kryje się wiele schorzeń. Do najczęściej występujących należą:
- zapalenia jamy ustnej związane z czynnikiem infekcyjnym – występujące na tle wirusowym, grzybiczym, bakteryjnym;
- zapalenia jamy ustnej związane z użytkowaniem nieprawidłowo dopasowanych protez zębowych;
- zapalenie związane z alergią kontaktową na niektóre pokarmy lub substancje chemiczne;
- zapalenie błony śluzowej w przebiegu radioterapii i chemioterapii nowotworów;
- aftowe zapalenie jamy ustnej;
- choroby ogólne manifestujące się w jamie ustnej, niedobory żywieniowe, palenie papierosów.
O czym mogą świadczyć zmiany w jamie ustnej?
Zmiany na błonie śluzowej jamy ustnej mogą powstawać w wyniku infekcji bakteryjnych lub wirusowych (np. opryszczka, afty), a także stanów zapalnych innego pochodzenia. Inną przyczyną są urazy mechaniczne, np. przygryzienie języka czy oparzenie gorącą potrawą. Ponadto zmiany tego typu mogą pojawiać się w trakcie trwania choroby układowej, a nawet poprzedzać wystąpienie zmian ogólnych. Zmiany w przebiegu wielu chorób mają charakter przewlekłych nadżerek błony śluzowej jamy ustnej, które w znaczny sposób utrudniają przyjmowanie stałych pokarmów, szczotkowanie zębów i powodują znaczny dyskomfort w życiu pacjenta.
Zmiany błony śluzowej jamy ustnej mogą być pierwszymi symptomami choroby nowotworowej, dlatego niezwykle ważna jest czujność i wykonywanie profilaktycznych badań. W takiej sytuacji rozstrzygającym badaniem jest pobranie wycinka lub usunięcie zmiany w całości i przekazanie go do zakładu patomorfologii czyli tzw. badania histopatologicznego.
Leczenie chorób błony śluzowej jamy ustnej
Podstawą skutecznego leczenia jest profesjonalna i kompleksowa diagnostyka, która często obejmuje nie tylko badanie kliniczne i wykonanie zdjęć rentgenowskich w gabinecie stomatologicznym, ale także jest poszerzona o badania ogólne krwi, badania mikrobiologiczne, alergologiczne, mykologiczne oraz badania histopatologiczne i immunologiczne (pobranie wycinków błony śluzowej).
Proces leczenia jest ściśle zależny od wyników przeprowadzonych badań. Czasem niezbędne są drobne zabiegi chirurgiczne, w niektórych przypadkach natomiast zaleca się leczenie farmakologiczne, np. miejscowe stosowanie żelów, czy maści. Jeśli przyczyną zmian jest choroba ogólnoustrojowa, najważniejsze jest właściwe poprowadzenie jej leczenia, a dolegliwości w jamie ustnej leczy się wyłącznie objawowo. W takiej sytuacji stomatolog może zalecić konsultację u innego specjalisty.
Leczenie leukoplakii
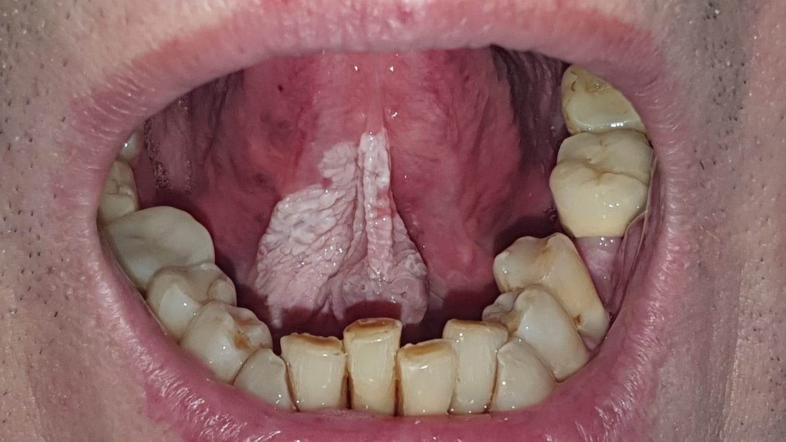
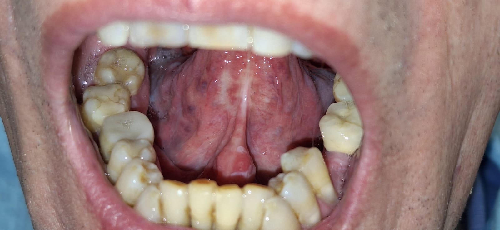
Leukoplakia to jedna z najczęstszych zmian przednowotworowych w obrębie jamy ustnej (o zwiększonym ryzyku wystąpienia nowotworu złośliwego). Charakteryzuje się obecnością białych/szarych plam lub smug na powierzchni błony śluzowej.
Poniżej prezentujemy leczenie i usunięcie leukoplakii, hyperkeratozy dna jamy ustnej i brzusznej części języka laserem CO2.
Przed leczeniem

Po leczeniu

